•
@ru2ch
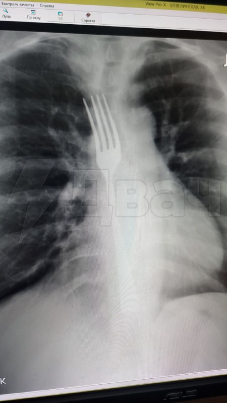
Женщина случайно проглотила вилку, пытаясь вызвать рвоту В белорусском Витебске женщина столкнулась с проблемой — у неё «встал желудок». Не найдя ничего лучше, витебчанка попыталась вызвать рвоту вилкой, но из-за неловкого движения она проглотила прибор целиком. Девушке срочно вызвали скорую, и её доставили в больницу на операционный стол, где хирурги разрезали ей живот и извлекли вилку. Сейчас пациентка уже в сознании, вскоре её переведут в отделение для выздоровления.
Женщина случайно проглотила вилку, пытаясь вызвать рвоту
В белорусском Витебске женщина столкнулась с проблемой — у неё «встал желудок».
Не найдя ничего лучше, витебчанка попыталась вызвать рвоту вилкой, но из-за неловкого движения она проглотила прибор целиком.
Девушке срочно вызвали скорую, и её доставили в больницу на операционный стол, где хирурги разрезали ей живот и извлекли вилку.
Сейчас пациентка уже в сознании, вскоре её переведут в отделение для выздоровления.
