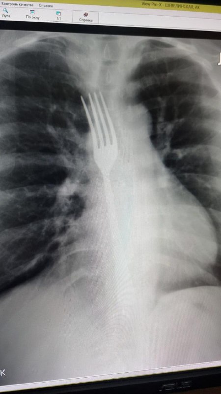
В Витебске женщина проглотила вилку, пытаясь «полечиться» дома

ВСЕ НОВОСТИ

В Витебске женщина проглотила вилку, пытаясь «полечиться» дома
1 новость

В Витебске женщина проглотила вилку, пытаясь «полечиться» дома

Telegram
Больше новостей в нашем телеграм канале

Еще новости из категории Происшествия/криминал

Еще новости