ВСЕ СТАТЬИ

← Вернуться к статьям
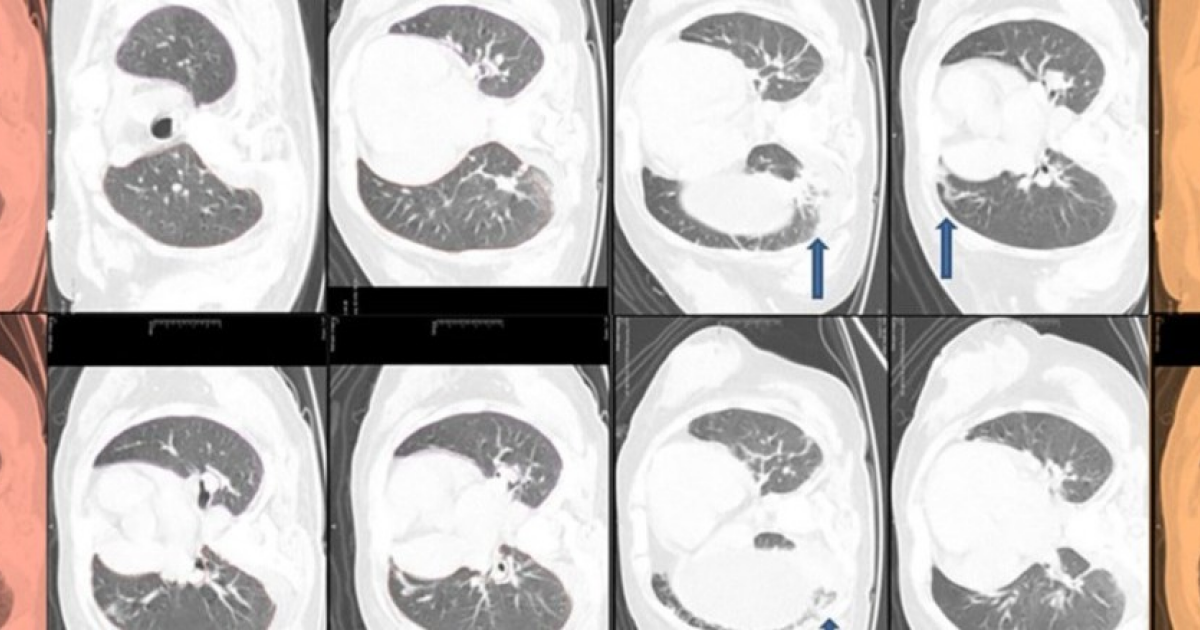
Слабость и повышенная утомляемость оказались проявлением синдрома коротких теломер.
26 февраля в 12:09
nplus1.ruздоровье

Слабость и повышенная утомляемость оказались проявлением синдрома коротких теломер.

26 февраля в 12:09•faviconnplus1.ru•здоровье

Слабость и повышенная утомляемость оказались проявлением синдрома коротких теломер. Слабость и повышенная утомляемость оказались проявлением синдрома коротких теломер

Еще статьи из категории

Еще статьи