ВСЕ СТАТЬИ

← Вернуться к статьям
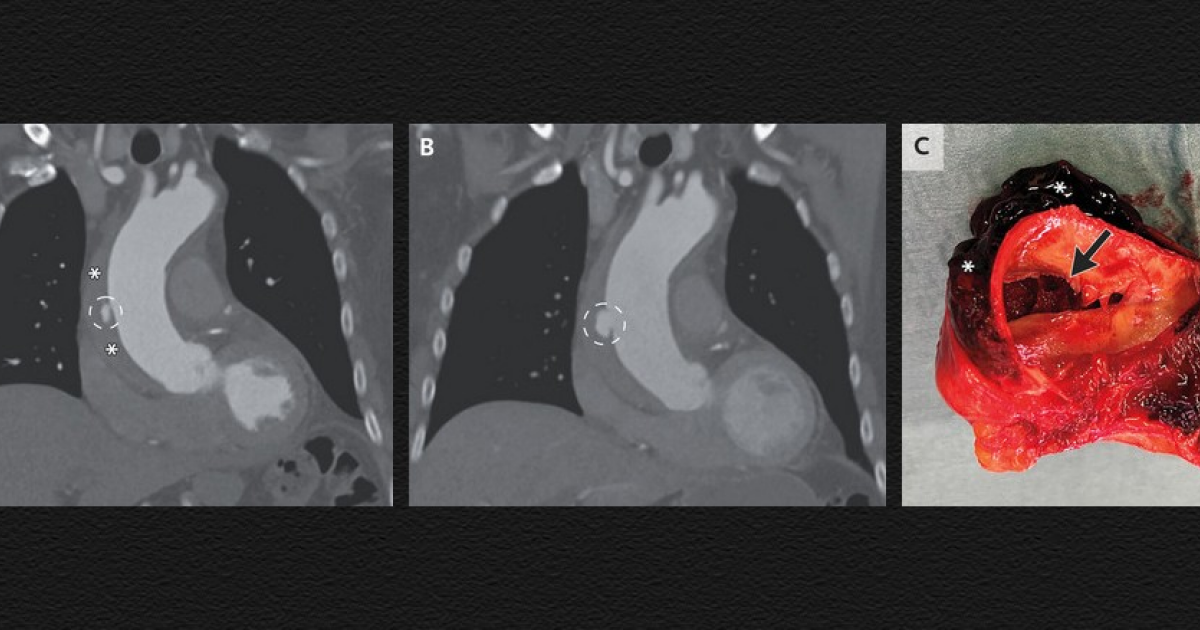
Нидерландцу удалили гематому в стенке аорты.

Нидерландцу удалили гематому в стенке аорты.

8 декабря в 09:19
nplus1.ruздоровье
8 декабря в 09:19•faviconnplus1.ru•здоровье

Нидерландцу удалили гематому в стенке аорты. Нидерландцу удалили гематому в стенке аорты

Еще статьи из категории

Еще статьи